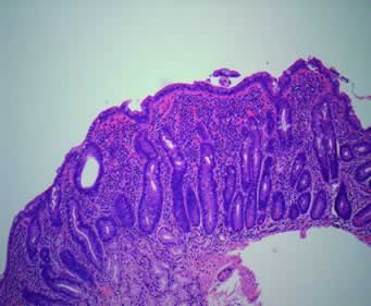
Como combinar os métodos diagnósticos na abordagem da doença celíaca
Como combinar os métodos diagnósticos na abordagem da doença celíaca
Trocando em miúdos, confira o raciocínio clínico nessa investigação, que deve se iniciar pela pesquisa de anti-tTG e pela medida do nível sérico de IgA